No CT Scan Needed: New Device Detects Brain Hemorrhage in Just Two Minutes
Indian scientists develop portable, non-invasive tool to save accident victims
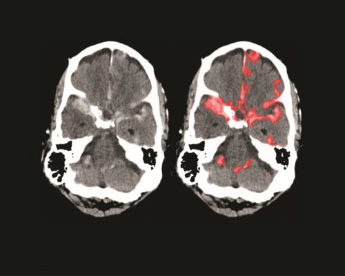
New Delhi, September 3, 2025 – Road accidents and traumatic injuries often cause internal brain hemorrhage, which, if undetected in time, can lead to death. Addressing this urgent medical challenge, Indian scientists and engineers have developed a handheld, portable device that can detect brain hemorrhage within two minutes, eliminating the immediate need for a CT scan.
The breakthrough device uses non-invasive near-infrared spectroscopy technology. By scanning the patient’s head, it can instantly detect whether bleeding has occurred inside the brain. Trials conducted at Ahmedabad Civil Hospital on more than 70 patients showed 100% accuracy in detecting hemorrhage.
Developed in collaboration with IISc Bengaluru and a research startup, the device promises to be a game-changer, especially in rural and remote areas where CT scan facilities are limited.
According to the Indian Council of Medical Research (ICMR), nearly 44% of patients injured in road accidents or similar incidents die within a month due to delayed detection of brain hemorrhage. Experts believe that widespread deployment of this technology could drastically reduce such fatalities.
The innovation has been hailed as a milestone in India’s journey toward medical self-reliance. Officials stated that approval and large-scale manufacturing will soon follow, making the device available to hospitals and emergency responders nationwide.
